About Expertise Results Contact Instagram
Perth, Western Australia

The smile architect

Dr Madelaine Whife

Dr Madelaine Whife is a Perth-based dentist passionate about helping patients achieve confident, healthy smiles.

15 Years
BDSc Hons UWA
PGDip Implantology

Not your average
dental experience

With years of experience, Maddy graduated from the University of Western Australia with first class honours in dentistry in 2010.

Maddy enjoys all aspects of dentistry, and particularly loves combining cosmetic, orthodontic and implant treatments to help her patients achieve their best smile and long-term oral health. Maddy treats people the way she would like to be treated herself and is known for her kind, gentle and compassionate approach.

Outside of dentistry, Maddy enjoys spending time with her husband and three children, keeping fit and listening to books (because she doesn't have time to read them!).

Dr Madelaine Whife
BDSc Hons (UWA) PGDip Implantology (UK)
" Treat others as you would like to be treated "

Services
offered

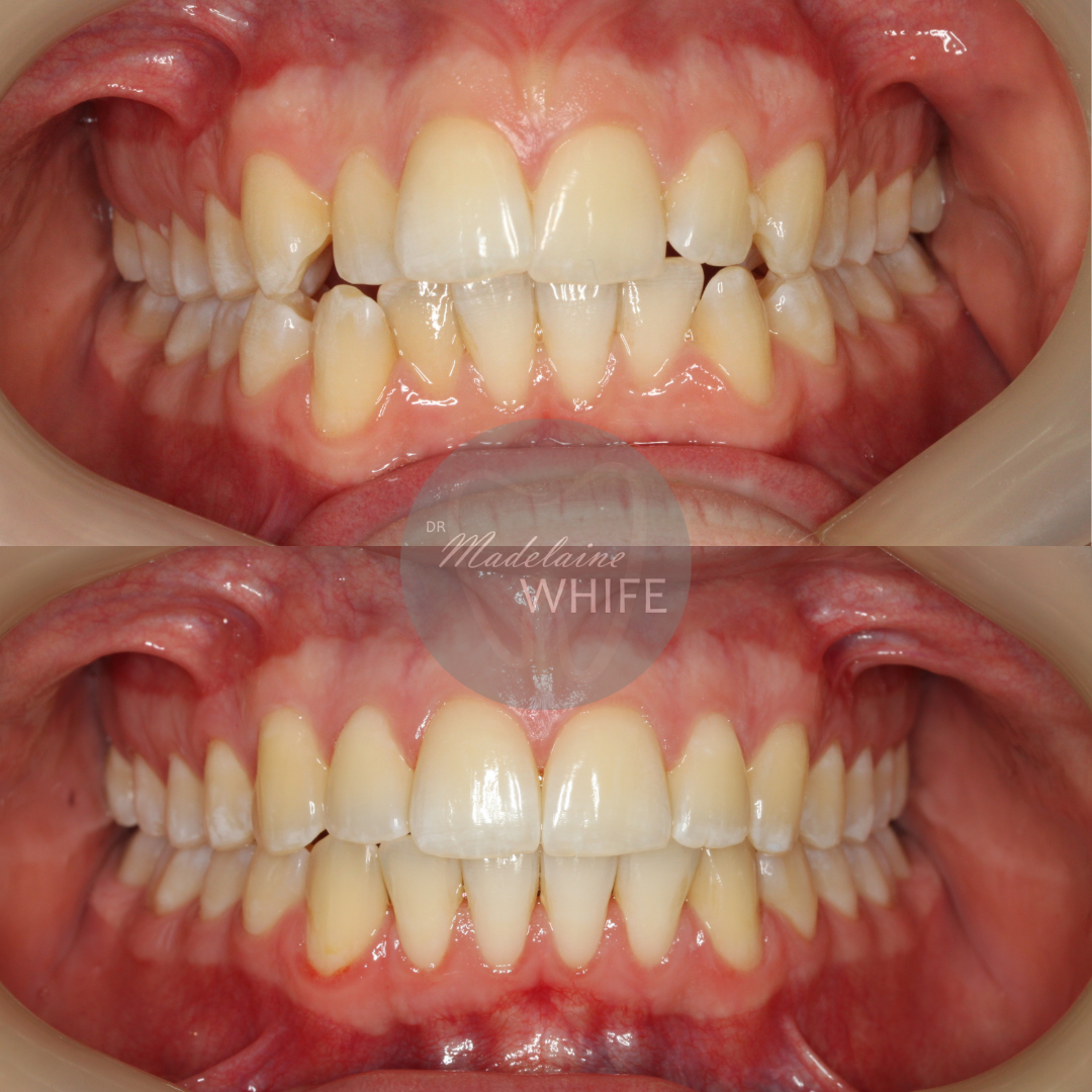
Invisalign Orthodontics

Clear aligner treatments for teens and adults. Maddy is a certified Invisalign provider, offering discreet teeth straightening options tailored to your lifestyle.

Certified Provider

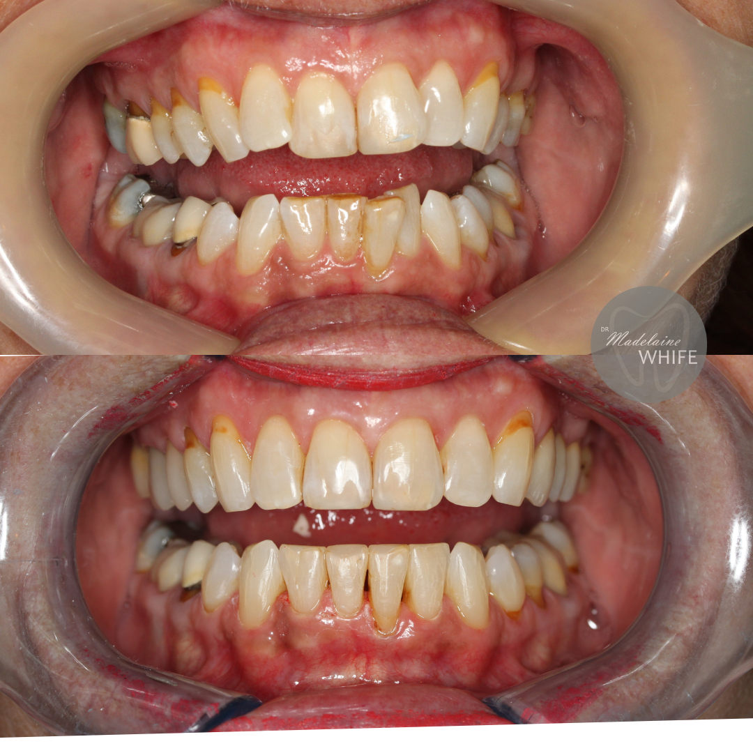
Cosmetic Dentistry

Porcelain veneers, whitening, and smile makeovers. Maddy combines technical skill with an eye for natural-looking results.

Veneers & Makeovers

Dental Implants

Permanent tooth replacements that look and function naturally. Maddy holds a Postgraduate Diploma in Implantology from the UK.

PGDip Implantology

Facial Aesthetics

Botulinum toxin injections for both cosmetic and therapeutic purposes. Subtle enhancements that complement your smile.

Cosmetic & Therapeutic

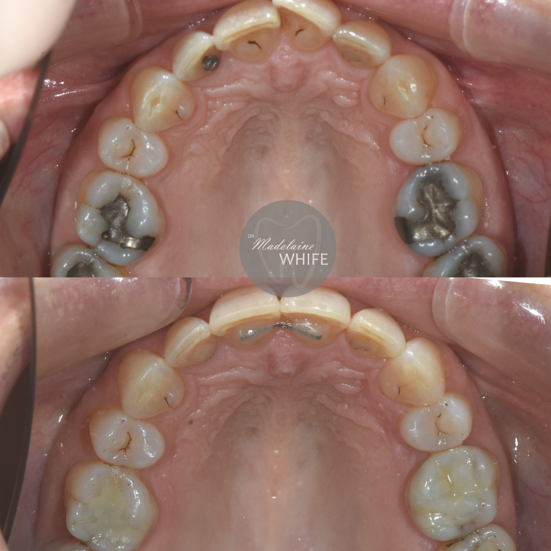
General & Restorative Dentistry

Check-ups, extractions, crown and bridge work, and preventive care for the whole family. Building healthy smiles starts with solid foundations.

All Ages Welcome

Let's talk
about your smile

Whether you're after a smile makeover or simply looking for a new dentist, feel free to reach out. No pressure, just a friendly chat.

Dr Whife celebrating with patient